رایولوژی و سونوگرافی کوروش دکتر سید محمد عمرانی
به سایت موسسه رادیولوژی و سونوگرافی کوروش ،با
سابقه 50 سال خدمت رسانی به بیماران محترم خوش آمدید.
آدرس: تهران ،تقاطع بلوار کشاورز و کارگر،نبش کارگر ،طبقه فوقانی
بانک ملی ساختمان 193 تلفن های تماس : 88967634 و 09966363715
تلفکس:88960991
دکتر سید محمد عمرانی
متخصص رادیولوی و سونوگرافی دارای بورد تخصصی

ساعات “پذیرش “پزشک:
شنبه تا چهارشنبه صبح ها از ساعت 8:30 لغایت 11:30 و بعد از ظهر ها از ساعت 15 لغایت 18:30
و پنجشنبه ها ازساعت 8:30 لغایت 11بصورت “حضوری ” میباشد.
«افتتاح دستگاه رادیولوژی روز دنیا 2024 با تکنولوژی کاملا اتوماتیک جهت تعیین
زاویه انحراف ستون فقرات دریک کلیشه Full spine
مشاوره آنلاین
دسته بندی موضوعات
سونوگرافی های ساده و رنگی کالر داپلر

https://kouroshradiology.ir/wp-content/uploads/2022/03/14-150×150.jpg
رادیوگرافی های ساده و رنگی(باریم سوالو ،باریم انما
،باریم میل، ترانزیت روده باریک و عکس رنگی مری ،
معده ،روده باریک و روده بزرگ )

https://kouroshradiology.ir/wp-content/uploads/2022/03/8-266×300.jpg
ماموگرافی سینه ها

https://kouroshradiology.ir/wp-content/uploads/2022/03/9.jpg
تعیین پوکی استخوان به روش Dexa

https://kouroshradiology.ir/wp-content/uploads/2022/03/10-150×150.jpg
بیوپسی از سینه و انجام FNA تیرویید تخلیه آبسه

https://kouroshradiology.ir/wp-content/uploads/2022/03/11-150×150.jpg
سونوگرافی حاملگی و بیوفیزیکال جنینی،
کالر داپلر رنگی حاملگی)
https://kouroshradiology.ir/wp-content/uploads/2022/03/12.jpg
غربالگری اول و دوم جنینی

https://kouroshradiology.ir/wp-content/uploads/2022/03/13-150×150.jpg
سونوگرافی های 3 بعدی و 4 بعدی

https://kouroshradiology.ir/wp-content/uploads/2022/03/5.jpg
سونوگرافی تمام اعضا بدن(شکم لگن، سینه ها،
تیرویید ،بیضه ها ،واژینال و رکتال)

https://kouroshradiology.ir/wp-content/uploads/2022/03/3-150×150.jpg
الاستوگرافی کبد ،پستان ها و تیرویید با جدیدترین
روش shear wave(فیبروسکن)

https://kouroshradiology.ir/wp-content/uploads/2022/03/7-150×150.jpg
گرافی دندانها OPG، پانورامیک ،سفالومتری

https://kouroshradiology.ir/wp-content/uploads/2022/03/15-150×150.jpg
سونوگرافی صورت جهت بررسی ژل تزریق شده در صورت

https://kouroshradiology.ir/wp-content/uploads/2022/03/soft2-1-150×150.jpg
گرافی تک دندان

https://kouroshradiology.ir/wp-content/uploads/2022/03/16-150×150.jpg
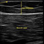
سونوگرافی جهت بررسی ضخامت چربی شکم قبل از جراحی زیبایی شکم(ابدومینوپلاستی)

https://kouroshradiology.ir/wp-content/uploads/2022/03/17-150×150.jpg
گرافی رنگی کلیه و IVP

https://kouroshradiology.ir/wp-content/uploads/2022/03/19-150×150.jpg
سونوگرافی کالر داپلر رنگی شریانی ،وریدی اندام های فوقانی
و تحتانی جهت ارزیابی لخته درون آنها

https://kouroshradiology.ir/wp-content/uploads/2022/03/20-150×150.jpg
سونوگرافی کالر داپلر رنگی جهت ارزیابی اندام های
تحتانی و واریس و Mapping

https://kouroshradiology.ir/wp-content/uploads/2022/03/21-150×150.jpg
کالر داپلر رنگی تیرویید و ندولهای تیروییدی

https://kouroshradiology.ir/wp-content/uploads/2022/03/22.jpg
تخلیه (TAP) مایع شکم ، آسیت و مایع پلور و ریه ها تحت گاید سونوگرافی

https://kouroshradiology.ir/wp-content/uploads/2022/03/23-150×150.jpg
گرافی رنگی از فیستولهای مقعدی،آبسه مقعد…

https://kouroshradiology.ir/wp-content/uploads/2022/03/24-150×150.jpg
رادیوگرافی انحراف ستون فقرات

رادیوگرافی کجی ستون فقرات گردنی یا سرویکال ، پشتی
یا توراسیک ،کمری یا لومبار ،ساکرال لگنی کوکسیکس یا دنبالچه:
جهت تعیین موارد فوق نیازی به ناشتایی یا آمادگی خاصی نمی باشد .
بیمار در حالت ایستاده در نمای رخ و نیمرخ قرار گرفته
و در طول انجام رادیوگرافی انحراف ستون فقرات باید تکان نخورده
و جابجا نشود.
همکاری بیمار تا اتمام رادیوگرافی لازم بوده و هر گونه جابجایی باعث
تغییر در زوایای محاسبه شده میگردد و نیاز به تکرار گرافی دارد.
لازم به ذکر است که تعداد مهره های گردن 7 عدد و تعداد مهره های
پشت 12 عدد و تعداد مهره های کمری 5 عدد می باشند.
از مزایای روش جدید و اتوماتیک ، انجام سریع گرافی
بوده که باعث افزایش دقت و عدم آزار و سختی بیمارمی گردد.
گرافی های تهیه شده در داخل نرم افرار خاص آنالیز شده و میزان
زاویه انحراف هر قسمت شامل :
گردن یا سرویکال Cervical ، پشتی یا توراسیک Thoracic ،
کمری یا لومبار Lumbar ، ساکروم و دنیالچه sacrococcygeal
به صورت مجزا تعیین می گردد.
استفاده از ابزار کمکی و کاملا حرفه ای جهت
تعیین میزان انحراف ستون فقرات:
ابزار فوق باعث کمک به بیمار جهت ایستادن راحت
ایجاد تکیه گاه جهت بیمار و کمک به عدم تکان خوردن بیمار
راحتی بیمار بعلت داشتن دستگیره و تکیه گاه مناسب و راحت
شرایط بیمار در طول انجام گرافی جهت تعیین میزان
انحراف ستون فقرات :
ایستادن بیمار در حالت رخ و نیمرخ و انجام گرافی در حالت ایستاده انجام می گردد
در صورت نیاز ، به بیمار لباس یکبار مصرف داده می شود تا هم کمکی
جهت راحتی و آرامش بیمار باشد و هم جهت حذف آرتیفکت ها و
نویز های موجود در لباس بیمار
https://kouroshradiology.ir/wp-content/uploads/2024/05/full-spine-1-300×300.jpg
جهت مشاوره و گرفتن وقت با شماره تلفن های 88960991
و 88967634 تماس بگیرید.
رادیوگرافی انحراف زانوها

جهت تعیین موارد فوق نیازی به ناشتایی یا آمادگی خاصی نمی باشد .
بیمار در حالت ایستاده در نمای رخ و نیمرخ قرار گرفته و
در طول انجام رادیوگرافی انحراف زانوها باید تکان نخورده
و جابجا نشود.
همکاری بیمار تا اتمام رادیوگرافی لازم بوده و هر گونه
جابجایی باعث تغییر در زوایای محاسبه شده میگردد و
نیاز به تکرار گرافی دارد.
لازم به ذکر است که استخوان ناحیه ران یا فمور Femur یک عدد
و استخوان های ناحیه ساق پا دو عدد و شامل تیبیا و
فیبولا Tibia,Fibulaمی باشند.
از مزایای روش جدید و اتوماتیک ، انجام سریع گرافی
بوده که باعث افزایش دقت و عدم آزار و سختی بیمار می گردد.
گرافی های تهیه شده در داخل نرم افرار خاص آنالیز شده و
میزان زاویه انحراف زانو یا لگن به صورت مجزا تعیین می گردد.
استفاده از ابزار کمکی و کاملا حرفه ای جهت تعیین
میزان انحراف زانوها:
ابزار فوق باعث کمک به بیمار جهت ایستادن راحت
ایجاد تکیه گاه جهت بیمار و کمک به عدم تکان خوردن بیمار
راحتی بیمار بعلت داشتن دستگیره و تکیه گاه مناسب و راحت
شرایط بیمار در طول انجام گرافی جهت تعیین میزان
انحراف زانوها :
ایستادن بیمار در حالت رخ و انجام گرافی در حالت ایستاده
انجام می گردد.در صورت نیاز ، به بیمار لباس یکبار مصرف داده می شود
تا هم کمکی جهت راحتی و آرامش بیمار باشد و هم جهت حذف
آرتیفکت ها و نویز های موجود در لباس بیمار
https://kouroshradiology.ir/wp-content/uploads/2024/05/lignment-viwe-300×300.jpg
رادیولوژی و سونوگرافی کوروشرادیولوژی و سونوگرافی کوروشرادیولوژی و سونوگرافی کوروشرادیولوژی و سونوگرافی کوروشرادیولوژی و سونوگرافی کوروشرادیولوژی و سونوگرافی کوروش
جهت مشاوره و گرفتن وقت با شماره تلفن های 09966363715 و 88967634 و تلفکس 88960991 تماس بگیرید.

